Le noyau accumbens, un centre d'apprentissage, de motivation et de plaisir


Rédigé et vérifié par Psychologue Valeria Sabater
Trouver la motivation pour atteindre un objectif. Sentir que, malgré les échecs, les efforts que nous faisons en valent la peine. Le plaisir intense d’un baiser. Le ravissement au moment de manger notre plat favori… Toutes ces sensations si décisives et importantes dans notre quotidien sont orchestrées par le noyau accumbens. Une aire aussi intéressante qu’exceptionnelle de notre magnifique cerveau.
Nous ignorons souvent l’existence de certaines régions du cerveau. Jusqu’à ce que quelqu’un de notre entourage ait un accident. Après cela, la façon de se comporter de cette personne ou sa manière de faire face à la vie changent complètement. Il serait bon, cependant, de comprendre un peu plus la façon dont fonctionne notre cerveau dans des conditions normales. Connaître la fonction de chaque aire cérébrale nous permet d’en apprendre un peu plus sur nos comportements. Nos motivations et nos impulsions.
Il y a un noyau accumbens dans chaque hémisphère cérébral qui donne forme à un système complexe de récompense. Grâce à lui, nous ressentons du plaisir, nous apprenons de nouvelles choses et nous trouvons la motivation au quotidien.
Le noyau accumbens est une structure cérébrale très intéressante qui donne forme à notre système de plaisir et de récompense. Sans lui, nous perdrions sûrement cette force. Cette catharsis. Cette énergie imparable qui nous rend humains et nous fait nous mouvoir sur la base d’un ensemble d’objectifs. Buts personnels, émotionnels, sexuels, d’apprentissage, d’alimentation…

Qu’est-ce que le noyau accumbens ?
Le noyau accumbens est un centre cérébral inconnu pour la majorité des gens. Le monde de la neuroscience lui-même se pose encore beaucoup de questions à son sujet. Nous savons que sa principale fonction est d’activer la motivation. Par ailleurs, il fait en sorte que la volonté, la sensation d’optimisme et d’accomplissement qui nous envahissent parfois se transforment en une réponse comportementale. En action.
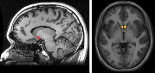
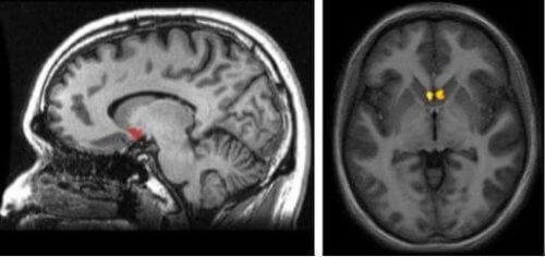
Où se trouve cette structure? Pour répondre à cette question, nous devons visualiser une aire sous-corticale (en-dessous du cortex) dans une zone d’interconnexion entre le noyau caudé, le putamen et le globus pallidus. Le plus intéressant à propos du noyau accumbens et sa localisation est qu’il fait partie de la voie dopaminergique du cerveau. On l’appelle la voie méso-limbique. Elle est chargée de nous stimuler chaque fois que notre cerveau comprend que nous vivons des expériences positives et gratifiantes.
Comme nous le signalions auparavant, cette structure est encore plein de mystères pour les neurologues. Dans le passé, on pensait que le noyau accumbens était relié aux expériences gratifiantes. Or, actuellement, nous savons qu’il est également lié aux situations adverses ou désagréables. Il l’est pour une raison très simple. Lorsque nous faisons face à une chose qui nous déplaît, le noyau accumbens nous “active” pour fuir cette situation.
Son implication au moment de favoriser l’apprentissage et même notre sens de la survie (en nous dirigeant vers des choses bénéfiques ou en nous éloignant de choses nocives) est aussi intéressante que déterminante.
Neurobiologie du noyau accumbens
Chaque hémisphère cérébral a son noyau accumbens. De cette façon, le système de récompense orchestré par la dopamine atteint chaque aire du cerveau. Il s’agit aussi d’une structure qui fait partie des dénommés ganglions basaux. Ainsi, et même si à première vue, le noyau accumbens semble être assez petit, il se caractérise surtout par sa grande connectivité.
En fait, sa “connexion” la plus importante est celle qu’il établit avec le système limbique. Rappelons-nous que cette aire est composée de diverses structures: le thalamus, l’hypothalamus et l’amygdale cérébrale. Elle est aussi responsable de la régulation de notre monde émotionnel. Voyons maintenant plus concrètement de quelle façon le noyau accumbens établit ces relations grâce à son anatomie sophistiquée.
1. Cortex (shell)
Il s’agit sans aucun doute de la partie la plus intéressante du noyau accumbens. C’est à travers de cette aire qu’il établit une connexion avec le système limbique et avec le lobe frontal. En faisant cela, il agit comme une sorte de pont. Le cortex reçoit et envoie des informations. Il obtient et régule la dopamine, la sérotonine, le glutamate…

2. Zone centrale (core)
Nous nous trouvons maintenant dans la partie centrale du noyau accumbens. Il y orchestre la motricité grâce à sa connexion avec les ganglions basaux, la substance noire et le cortex moteur. Le plus fascinant dans cette aire est qu’elle active une grande partie des actions et mouvements qui ont un sens émotionnel. En d’autres termes, chaque fois que nous sentons que la motivation nous pousse à nous lever de notre chaise pour faire ou réussir quelque chose, nous devons nous souvenir que c’est le noyau accumbens qui se trouve derrière cette impulsion.
Quelles sont les fonctions du noyau accumbens ?
Nous savons déjà que le noyau accumbens articule et met en marche tout ce qui est lié à la motivation, le plaisir ou la capacité de réussite. Cependant, et étant donné sa grande implication sur le plan émotionnel, il a beaucoup plus de fonctions. Les voici.
- Il nous aide à planifier. Grâce à sa connexion avec le cortex cérébral, nous parvenons à nous créer des objectifs, des séquences, des plans de route vers un but, etc.
- Nous évaluons les situations. Le noyau accumbens est également relié à notre mémoire émotionnelle. Par conséquent, grâce à lui, nous réussissons à analyser certaines situations pour ajuster des changements, donner notre feu vert ou décider s’il vaut mieux remettre à plus tard certains défis ou objectifs.
- Il nous aide à apprendre, à intégrer de nouvelles informations. La motivation et l’apprentissage vont toujours de pair. Le simple fait de comprendre, d’intégrer et de mémoriser n’aurait aucun sens sans ce composant émotionnel du noyau accumbens.
- Sexe et alimentation. Cette structure n’est pas la seule à être reliée à la sensation de plaisir. Cependant, le noyau accumbens joue un rôle clé au niveau de la motivation et du système neurochimique de récompense. Tout est dû à son lien avec la voie dopaminergique, c’est-à-dire ce neurotransmetteur lié au plaisir, au bonheur et à l’addiction.
Comme nous pouvons le voir, le cerveau et chacune des parties qui le composent ne cesseront jamais de nous surprendre. Il s’agit d’un mécanisme parfait où chaque aire remplit une fonction très concrète. Cependant, aucune n’agit de façon isolée. Elles sont toutes reliées entre elles. Et elles dépendent les unes des autres pour travailler dans une harmonie fascinante. Le noyau accumbens, lui, est une pièce plus que privilégiée qui a un rôle essentiel.
Trouver la motivation pour atteindre un objectif. Sentir que, malgré les échecs, les efforts que nous faisons en valent la peine. Le plaisir intense d’un baiser. Le ravissement au moment de manger notre plat favori… Toutes ces sensations si décisives et importantes dans notre quotidien sont orchestrées par le noyau accumbens. Une aire aussi intéressante qu’exceptionnelle de notre magnifique cerveau.
Nous ignorons souvent l’existence de certaines régions du cerveau. Jusqu’à ce que quelqu’un de notre entourage ait un accident. Après cela, la façon de se comporter de cette personne ou sa manière de faire face à la vie changent complètement. Il serait bon, cependant, de comprendre un peu plus la façon dont fonctionne notre cerveau dans des conditions normales. Connaître la fonction de chaque aire cérébrale nous permet d’en apprendre un peu plus sur nos comportements. Nos motivations et nos impulsions.
Il y a un noyau accumbens dans chaque hémisphère cérébral qui donne forme à un système complexe de récompense. Grâce à lui, nous ressentons du plaisir, nous apprenons de nouvelles choses et nous trouvons la motivation au quotidien.
Le noyau accumbens est une structure cérébrale très intéressante qui donne forme à notre système de plaisir et de récompense. Sans lui, nous perdrions sûrement cette force. Cette catharsis. Cette énergie imparable qui nous rend humains et nous fait nous mouvoir sur la base d’un ensemble d’objectifs. Buts personnels, émotionnels, sexuels, d’apprentissage, d’alimentation…

Qu’est-ce que le noyau accumbens ?
Le noyau accumbens est un centre cérébral inconnu pour la majorité des gens. Le monde de la neuroscience lui-même se pose encore beaucoup de questions à son sujet. Nous savons que sa principale fonction est d’activer la motivation. Par ailleurs, il fait en sorte que la volonté, la sensation d’optimisme et d’accomplissement qui nous envahissent parfois se transforment en une réponse comportementale. En action.
Où se trouve cette structure? Pour répondre à cette question, nous devons visualiser une aire sous-corticale (en-dessous du cortex) dans une zone d’interconnexion entre le noyau caudé, le putamen et le globus pallidus. Le plus intéressant à propos du noyau accumbens et sa localisation est qu’il fait partie de la voie dopaminergique du cerveau. On l’appelle la voie méso-limbique. Elle est chargée de nous stimuler chaque fois que notre cerveau comprend que nous vivons des expériences positives et gratifiantes.
Comme nous le signalions auparavant, cette structure est encore plein de mystères pour les neurologues. Dans le passé, on pensait que le noyau accumbens était relié aux expériences gratifiantes. Or, actuellement, nous savons qu’il est également lié aux situations adverses ou désagréables. Il l’est pour une raison très simple. Lorsque nous faisons face à une chose qui nous déplaît, le noyau accumbens nous “active” pour fuir cette situation.
Son implication au moment de favoriser l’apprentissage et même notre sens de la survie (en nous dirigeant vers des choses bénéfiques ou en nous éloignant de choses nocives) est aussi intéressante que déterminante.
Neurobiologie du noyau accumbens
Chaque hémisphère cérébral a son noyau accumbens. De cette façon, le système de récompense orchestré par la dopamine atteint chaque aire du cerveau. Il s’agit aussi d’une structure qui fait partie des dénommés ganglions basaux. Ainsi, et même si à première vue, le noyau accumbens semble être assez petit, il se caractérise surtout par sa grande connectivité.
En fait, sa “connexion” la plus importante est celle qu’il établit avec le système limbique. Rappelons-nous que cette aire est composée de diverses structures: le thalamus, l’hypothalamus et l’amygdale cérébrale. Elle est aussi responsable de la régulation de notre monde émotionnel. Voyons maintenant plus concrètement de quelle façon le noyau accumbens établit ces relations grâce à son anatomie sophistiquée.
1. Cortex (shell)
Il s’agit sans aucun doute de la partie la plus intéressante du noyau accumbens. C’est à travers de cette aire qu’il établit une connexion avec le système limbique et avec le lobe frontal. En faisant cela, il agit comme une sorte de pont. Le cortex reçoit et envoie des informations. Il obtient et régule la dopamine, la sérotonine, le glutamate…

2. Zone centrale (core)
Nous nous trouvons maintenant dans la partie centrale du noyau accumbens. Il y orchestre la motricité grâce à sa connexion avec les ganglions basaux, la substance noire et le cortex moteur. Le plus fascinant dans cette aire est qu’elle active une grande partie des actions et mouvements qui ont un sens émotionnel. En d’autres termes, chaque fois que nous sentons que la motivation nous pousse à nous lever de notre chaise pour faire ou réussir quelque chose, nous devons nous souvenir que c’est le noyau accumbens qui se trouve derrière cette impulsion.
Quelles sont les fonctions du noyau accumbens ?
Nous savons déjà que le noyau accumbens articule et met en marche tout ce qui est lié à la motivation, le plaisir ou la capacité de réussite. Cependant, et étant donné sa grande implication sur le plan émotionnel, il a beaucoup plus de fonctions. Les voici.
- Il nous aide à planifier. Grâce à sa connexion avec le cortex cérébral, nous parvenons à nous créer des objectifs, des séquences, des plans de route vers un but, etc.
- Nous évaluons les situations. Le noyau accumbens est également relié à notre mémoire émotionnelle. Par conséquent, grâce à lui, nous réussissons à analyser certaines situations pour ajuster des changements, donner notre feu vert ou décider s’il vaut mieux remettre à plus tard certains défis ou objectifs.
- Il nous aide à apprendre, à intégrer de nouvelles informations. La motivation et l’apprentissage vont toujours de pair. Le simple fait de comprendre, d’intégrer et de mémoriser n’aurait aucun sens sans ce composant émotionnel du noyau accumbens.
- Sexe et alimentation. Cette structure n’est pas la seule à être reliée à la sensation de plaisir. Cependant, le noyau accumbens joue un rôle clé au niveau de la motivation et du système neurochimique de récompense. Tout est dû à son lien avec la voie dopaminergique, c’est-à-dire ce neurotransmetteur lié au plaisir, au bonheur et à l’addiction.
Comme nous pouvons le voir, le cerveau et chacune des parties qui le composent ne cesseront jamais de nous surprendre. Il s’agit d’un mécanisme parfait où chaque aire remplit une fonction très concrète. Cependant, aucune n’agit de façon isolée. Elles sont toutes reliées entre elles. Et elles dépendent les unes des autres pour travailler dans une harmonie fascinante. Le noyau accumbens, lui, est une pièce plus que privilégiée qui a un rôle essentiel.
Ce texte est fourni à des fins d'information uniquement et ne remplace pas la consultation d'un professionnel. En cas de doute, consultez votre spécialiste.







