Microbiome cérébral: une bactérie intestinale se trouverait dans le cerveau humain


Relu et approuvé par Psychologue Gema Sánchez Cuevas
Les récentes études menées sur la relation entre le microbiome intestinal et le cerveau ont donné des résultats très intéressants. Et de fait, il semble que cette relation soit beaucoup plus intime qu’on ne le soupçonnait au début. Lors du dernier congrès de la Neuroscience Society, les chercheurs de l’Université de l’Alabama a présenté un rapport qui montre comment certaines bactéries intestinales habitent différentes régions du cerveau, ce qui semble être un microbiome cérébral.
Cette découverte est à la fois fascinante et intimidante. La bactérie a été trouvée, mais il n’y a toujours aucune explication quant à la façon dont elle affecte le cerveau. Les scientifiques soupçonnent qu’elle peut influencer l’humeur, voire la personnalité. Approfondissons.
Qu’est-ce que c’est le microbiome intestinal ?
Le microbiome intestinal, c’est l’ensemble des microorganismes qui vivent dans nos intestins. Cela correspond à environ cent mille milliards d’espèces de bactéries différentes, qui, à leur tour, sont composées de plus de trois millions de gènes. Parmi eux, un tiers seulement est commun à tous les êtres humains, le reste est exclusif à chaque personne. Le microbiome intestinal est donc une partie importante de l’identité de chacun de nous.
Parmi ses fonctions les plus importantes, nous pouvons souligner la régulation du système immunitaire, l’absorption des nutriments et le contrôle des agents pathogènes externes. Toute altération du microbiome intestinal peut être à l’origine de maladies auto-immunes, d’allergies et d’infections. En fait, il a récemment été associé aux maladies d’Alzheimer et de Parkinson.
D’un autre côté, les déséquilibres de la flore intestinale génèrent des endotoxines, des niveaux élevés d’oxydation et de la graisse abdominale. En outre, l’inflammation chronique provoque des problèmes cardiovasculaires ainsi que le diabète.
Nombreux sont ceux à avoir peur des microbes et des bactéries. Pourtant, nous ne pouvons pas vivre sans eux. Nous n’en sommes pas conscients, mais des milliards d’êtres vivants coexistent dans notre corps.

Le microbiome cérébral
La présence de bactéries dans le cerveau a suscité à la fois de la curiosité et de la surprise au sein de la communauté scientifique. En fait, une des premières questions à résoudre est la suivante : comment arrivent-elles jusqu’au cerveau, alors que ce dernier est protégé par la barrière hémato-encéphalique ?
La barrière hémato-encéphalique est un système de protection contre l’entrée de substances étrangères et permet le passage de l’eau, des molécules solubles dans les lipides et de certains gaz. Mais aussi celui de certains acides aminés et d’autres molécules. Or, les bactéries présentes dans le cerveau relèvent, pour la plupart, de la phylogénie intestinale.
Il s’agit des astrocytes, des cellules gliales qui supportent les neurones. Ils empêchent l’entrée de neurotoxines et d’autres substances dans le cerveau. Ces substances nocives, lorsqu’elles parviennent à outrepasser la barrière d’une manière ou d’une autre, produisent souvent des inflammations aux conséquences très négatives. Voire mortelles. Pourtant, curieusement, les astrocytes semblent être le lieu de prédilection de ces bactéries intestinales dans le cerveau.
Bien que plusieurs hypothèses aient été faites sur la manière dont ces bactéries y sont parvenues, comme par exemple via les nerfs de l’intestin, la barrière hémato-encéphalique ou le nez, la cause en est toujours inconnue. Il reste encore beaucoup à étudier sur ce possible microbiome cérébral.

L’étude
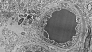
La docteure Rosalinda Roberts, accompagnée de son équipe du Psychiatry and Behavioral Neurobiology de l’Université de l’Alabama, sont à l’origine de cette découverte. Ils ont en effet étudié le cerveau de 34 personnes ; la moitié étaient des sujets sains et l’autre moitié souffrait de schizophrénie. De plus, une étude parallèle sur des souris a été réalisée pour exclure l’hypothèse selon laquelle la bactérie ne serait apparue que post-mortem. Mais aussi pour éviter qu’il puisse y avoir une quelconque erreur due à une contamination.
Les chercheurs ont donc pu observer la présence de bactéries dans le cerveau humain et chez les souris. Et ce non seulement dans des situations non infectieuses ou traumatiques, mais aussi au niveau de plusieurs régions du cerveau. Principalement dans la substance noire, l’hippocampe et le cortex préfrontal, et très peu dans le striate. De plus, aucun des cerveaux examinés ne présentait d’inflammation.
Ces résultats ont laissé la porte ouverte à la spéculation et à de nouvelles recherches sur le microbiome cérébral. Pour le moment, la possibilité que ces microbes soient liés au comportement, à l’humeur et à certaines maladies neurologiques ne peut être affirmé ; des recherches à ce sujet continuent à être menées. Pour autant, les résultats chez les personnes en bonne santé incitent à penser qu’ils peuvent également être bénéfiques pour le cerveau. À ce jour, aucune possibilité n’est à écarter.
Image principale de Rosalía Roberts, Courtney Walker et Charlene Farmer
Les récentes études menées sur la relation entre le microbiome intestinal et le cerveau ont donné des résultats très intéressants. Et de fait, il semble que cette relation soit beaucoup plus intime qu’on ne le soupçonnait au début. Lors du dernier congrès de la Neuroscience Society, les chercheurs de l’Université de l’Alabama a présenté un rapport qui montre comment certaines bactéries intestinales habitent différentes régions du cerveau, ce qui semble être un microbiome cérébral.
Cette découverte est à la fois fascinante et intimidante. La bactérie a été trouvée, mais il n’y a toujours aucune explication quant à la façon dont elle affecte le cerveau. Les scientifiques soupçonnent qu’elle peut influencer l’humeur, voire la personnalité. Approfondissons.
Qu’est-ce que c’est le microbiome intestinal ?
Le microbiome intestinal, c’est l’ensemble des microorganismes qui vivent dans nos intestins. Cela correspond à environ cent mille milliards d’espèces de bactéries différentes, qui, à leur tour, sont composées de plus de trois millions de gènes. Parmi eux, un tiers seulement est commun à tous les êtres humains, le reste est exclusif à chaque personne. Le microbiome intestinal est donc une partie importante de l’identité de chacun de nous.
Parmi ses fonctions les plus importantes, nous pouvons souligner la régulation du système immunitaire, l’absorption des nutriments et le contrôle des agents pathogènes externes. Toute altération du microbiome intestinal peut être à l’origine de maladies auto-immunes, d’allergies et d’infections. En fait, il a récemment été associé aux maladies d’Alzheimer et de Parkinson.
D’un autre côté, les déséquilibres de la flore intestinale génèrent des endotoxines, des niveaux élevés d’oxydation et de la graisse abdominale. En outre, l’inflammation chronique provoque des problèmes cardiovasculaires ainsi que le diabète.
Nombreux sont ceux à avoir peur des microbes et des bactéries. Pourtant, nous ne pouvons pas vivre sans eux. Nous n’en sommes pas conscients, mais des milliards d’êtres vivants coexistent dans notre corps.

Le microbiome cérébral
La présence de bactéries dans le cerveau a suscité à la fois de la curiosité et de la surprise au sein de la communauté scientifique. En fait, une des premières questions à résoudre est la suivante : comment arrivent-elles jusqu’au cerveau, alors que ce dernier est protégé par la barrière hémato-encéphalique ?
La barrière hémato-encéphalique est un système de protection contre l’entrée de substances étrangères et permet le passage de l’eau, des molécules solubles dans les lipides et de certains gaz. Mais aussi celui de certains acides aminés et d’autres molécules. Or, les bactéries présentes dans le cerveau relèvent, pour la plupart, de la phylogénie intestinale.
Il s’agit des astrocytes, des cellules gliales qui supportent les neurones. Ils empêchent l’entrée de neurotoxines et d’autres substances dans le cerveau. Ces substances nocives, lorsqu’elles parviennent à outrepasser la barrière d’une manière ou d’une autre, produisent souvent des inflammations aux conséquences très négatives. Voire mortelles. Pourtant, curieusement, les astrocytes semblent être le lieu de prédilection de ces bactéries intestinales dans le cerveau.
Bien que plusieurs hypothèses aient été faites sur la manière dont ces bactéries y sont parvenues, comme par exemple via les nerfs de l’intestin, la barrière hémato-encéphalique ou le nez, la cause en est toujours inconnue. Il reste encore beaucoup à étudier sur ce possible microbiome cérébral.

L’étude
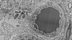
La docteure Rosalinda Roberts, accompagnée de son équipe du Psychiatry and Behavioral Neurobiology de l’Université de l’Alabama, sont à l’origine de cette découverte. Ils ont en effet étudié le cerveau de 34 personnes ; la moitié étaient des sujets sains et l’autre moitié souffrait de schizophrénie. De plus, une étude parallèle sur des souris a été réalisée pour exclure l’hypothèse selon laquelle la bactérie ne serait apparue que post-mortem. Mais aussi pour éviter qu’il puisse y avoir une quelconque erreur due à une contamination.
Les chercheurs ont donc pu observer la présence de bactéries dans le cerveau humain et chez les souris. Et ce non seulement dans des situations non infectieuses ou traumatiques, mais aussi au niveau de plusieurs régions du cerveau. Principalement dans la substance noire, l’hippocampe et le cortex préfrontal, et très peu dans le striate. De plus, aucun des cerveaux examinés ne présentait d’inflammation.
Ces résultats ont laissé la porte ouverte à la spéculation et à de nouvelles recherches sur le microbiome cérébral. Pour le moment, la possibilité que ces microbes soient liés au comportement, à l’humeur et à certaines maladies neurologiques ne peut être affirmé ; des recherches à ce sujet continuent à être menées. Pour autant, les résultats chez les personnes en bonne santé incitent à penser qu’ils peuvent également être bénéfiques pour le cerveau. À ce jour, aucune possibilité n’est à écarter.
Image principale de Rosalía Roberts, Courtney Walker et Charlene Farmer
Ce texte est fourni à des fins d'information uniquement et ne remplace pas la consultation d'un professionnel. En cas de doute, consultez votre spécialiste.







