Images inédites de l'activité cérébrale des fœtus

Jusqu’à il y a peu, obtenir des images de l’activité cérébrale d’un bébé dans l’utérus maternel était très compliqué. Aujourd’hui, et grâce à une technique plus avancée, nous disposons d’images de grande qualité qui nous permettent de mieux comprendre certains aspects de notre développement que nous ne connaissions pas jusqu’à présent.
La résonance magnétique (RM) fœtal cérébrale est une méthode de diagnostic complémentaire à l’échographie à laquelle sont soumises de nombreuses mamans, pour une raison très simple : pour obtenir une étude morphologique et biométrique du cerveau du bébé qui permette de détecter n’importe quelle anomalie.
“La vie est fascinante, il faut seulement savoir la regarder avec les bonnes lunettes.”
-Alexandre Dumas-
Ces tests sont réalisés à partir de la 20ème semaine de grossesse, juste quand le corps calleux cérébral vient de se former et que les diagnostics sont plus sûrs. Souvenez-vous que le fœtus est suspendu dans un univers amniotique, dans un monde liquide où la résolution via la résonance magnétique est de moindre qualité, et où chaque mouvement fausse complètement les données récoltées.
Ce type de tests prénataux a un taux de fiabilité de 50% en ce qui concerne l’identification de problèmes.
Mais tout vient de changer complètement. Nous venons de faire un pas de géant et nous disposons d’algorithmes beaucoup plus précis qui permettent de faire des lectures quasiment parfaites de l’activité cérébrale d’un bébé.
Ce que l’on a découvert lors de ces premiers tests est une révolution dans le champ de la médecine prénatale. Nous allons tout vous vous expliquer ici.

L’activité cérébrale des bébés prématurés
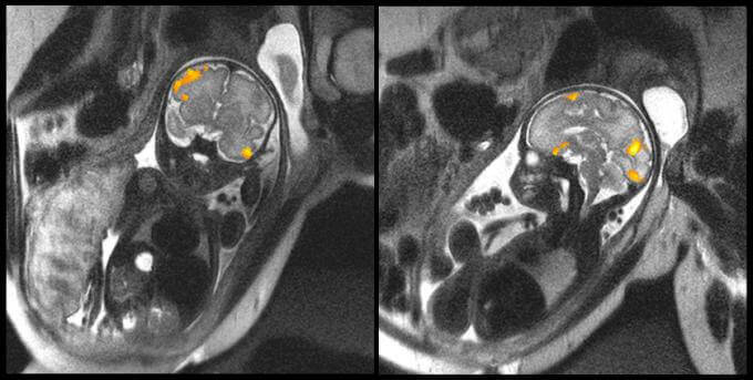
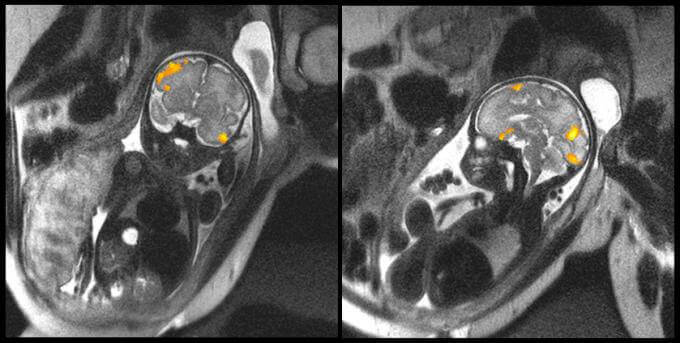
Dans l’image ci-dessus, on peut voir la résonance magnétique d’un fœtus de 20 semaines et un autre de 40 semaines. Ce sont des images qui ont été données par la faculté de Médecine de l’Université d’État de Wayne (Michigan, États-Unis) qui montrent clairement l’activité cérébrale de ces deux bébés dans l’utérus de leur mère.
L’un des objectifs prioritaires des scientifiques avec ce type de tests était d’étudier comment les neurones des bébés se connectaient tout au long des dernières semaines de gestation. Les données obtenues ont révélé des choses que l’on ne connaissait pas sur les bébés prématurés.
La faible connectivité cérébrale des fœtus qui n’arrivent pas à terme
Les données de cette première étude ont été publiées dans la revue “Scientific Reports”. Pour réaliser ces analyses avec la résonance magnétique, 36 femmes enceintes ont été suivies depuis la 20ème jusqu’à la 36ème semaine de grossesse. La moitié d’entre elles avaient une grossesse à fort risque et ont accouché prématurément.
- On a pu découvrir que les fœtus qui naissaient avant le terme avaient une connectivité bien plus fragile que les autres à la même semaine de grossesse.
- Jusqu’à présent, on pensait que la faible connectivité cérébrale détectée chez les bébés prématurés était due à un accouchement traumatisant ou à l’hypoxie qu’ils peuvent endurer pendant ce moment.
Cependant, ce nouveau test montre que la faible neuro-connectivité est déjà présente dans l’utérus maternel et que cette connexion défaillante entre les neurones est évidente dans l’aire de Broca, c’est-à-dire juste dans la zone en lien avec l’assimilation du langage.

En quoi ces nouveaux tests sont-ils utiles ?
Comme nous vous l’avons dit au début de l’article, la résonance magnétique fœtale a pour objectif de détecter n’importe quelle anomalie prénatale. Aujourd’hui, nous ne pouvons pas ignorer que les accouchements prématurés sont de plus de plus communs, ce qui oblige les médecins, les scientifiques et les familles à déployer de nouvelles stratégies, énergies et ressources.
- Les données de ce travail ont démontré que beaucoup des bébés qui naissaient prématurément avaient un tissu placentaire enflammé. Ce qui fait dire aux scientifiques que l’inflammation maternelle peut aussi bien déterminer la faible activité cérébrale du fœtus que la naissance prématurée.
- De même, plus on détecte tôt ces anomalies prénatales, plus les possibilités d’intervention sont grandes. N’oublions pas que les bébés prématurés ont un plus grand risque de souffrir d’autisme, de déficits d’attention et d’autre type de besoins en lien avec l’apprentissage.
“Au moment où vous vous y attendez le moins, la vie vous met devant un défi.”
-Paulo Coehlo-

Pour conclure, ces premières images de l’activité cérébrale des fœtus humains permettent d’ouvrir la porte d’une meilleure compréhension de notre propre développement. Cependant, il s’agit surtout d’un outil de diagnostic de précision qui permet une attention plus complète de l’enfance prématurée, de cette vie arrivée avant l’heure qui a tant besoin de la science, des médecins et de sa famille.
Lisez aussi : 9 mois de grossesse dans une merveilleuse vidéo de 4 minutes
Jusqu’à il y a peu, obtenir des images de l’activité cérébrale d’un bébé dans l’utérus maternel était très compliqué. Aujourd’hui, et grâce à une technique plus avancée, nous disposons d’images de grande qualité qui nous permettent de mieux comprendre certains aspects de notre développement que nous ne connaissions pas jusqu’à présent.
La résonance magnétique (RM) fœtal cérébrale est une méthode de diagnostic complémentaire à l’échographie à laquelle sont soumises de nombreuses mamans, pour une raison très simple : pour obtenir une étude morphologique et biométrique du cerveau du bébé qui permette de détecter n’importe quelle anomalie.
“La vie est fascinante, il faut seulement savoir la regarder avec les bonnes lunettes.”
-Alexandre Dumas-
Ces tests sont réalisés à partir de la 20ème semaine de grossesse, juste quand le corps calleux cérébral vient de se former et que les diagnostics sont plus sûrs. Souvenez-vous que le fœtus est suspendu dans un univers amniotique, dans un monde liquide où la résolution via la résonance magnétique est de moindre qualité, et où chaque mouvement fausse complètement les données récoltées.
Ce type de tests prénataux a un taux de fiabilité de 50% en ce qui concerne l’identification de problèmes.
Mais tout vient de changer complètement. Nous venons de faire un pas de géant et nous disposons d’algorithmes beaucoup plus précis qui permettent de faire des lectures quasiment parfaites de l’activité cérébrale d’un bébé.
Ce que l’on a découvert lors de ces premiers tests est une révolution dans le champ de la médecine prénatale. Nous allons tout vous vous expliquer ici.

L’activité cérébrale des bébés prématurés
Dans l’image ci-dessus, on peut voir la résonance magnétique d’un fœtus de 20 semaines et un autre de 40 semaines. Ce sont des images qui ont été données par la faculté de Médecine de l’Université d’État de Wayne (Michigan, États-Unis) qui montrent clairement l’activité cérébrale de ces deux bébés dans l’utérus de leur mère.
L’un des objectifs prioritaires des scientifiques avec ce type de tests était d’étudier comment les neurones des bébés se connectaient tout au long des dernières semaines de gestation. Les données obtenues ont révélé des choses que l’on ne connaissait pas sur les bébés prématurés.
La faible connectivité cérébrale des fœtus qui n’arrivent pas à terme
Les données de cette première étude ont été publiées dans la revue “Scientific Reports”. Pour réaliser ces analyses avec la résonance magnétique, 36 femmes enceintes ont été suivies depuis la 20ème jusqu’à la 36ème semaine de grossesse. La moitié d’entre elles avaient une grossesse à fort risque et ont accouché prématurément.
- On a pu découvrir que les fœtus qui naissaient avant le terme avaient une connectivité bien plus fragile que les autres à la même semaine de grossesse.
- Jusqu’à présent, on pensait que la faible connectivité cérébrale détectée chez les bébés prématurés était due à un accouchement traumatisant ou à l’hypoxie qu’ils peuvent endurer pendant ce moment.
Cependant, ce nouveau test montre que la faible neuro-connectivité est déjà présente dans l’utérus maternel et que cette connexion défaillante entre les neurones est évidente dans l’aire de Broca, c’est-à-dire juste dans la zone en lien avec l’assimilation du langage.

En quoi ces nouveaux tests sont-ils utiles ?
Comme nous vous l’avons dit au début de l’article, la résonance magnétique fœtale a pour objectif de détecter n’importe quelle anomalie prénatale. Aujourd’hui, nous ne pouvons pas ignorer que les accouchements prématurés sont de plus de plus communs, ce qui oblige les médecins, les scientifiques et les familles à déployer de nouvelles stratégies, énergies et ressources.
- Les données de ce travail ont démontré que beaucoup des bébés qui naissaient prématurément avaient un tissu placentaire enflammé. Ce qui fait dire aux scientifiques que l’inflammation maternelle peut aussi bien déterminer la faible activité cérébrale du fœtus que la naissance prématurée.
- De même, plus on détecte tôt ces anomalies prénatales, plus les possibilités d’intervention sont grandes. N’oublions pas que les bébés prématurés ont un plus grand risque de souffrir d’autisme, de déficits d’attention et d’autre type de besoins en lien avec l’apprentissage.
“Au moment où vous vous y attendez le moins, la vie vous met devant un défi.”
-Paulo Coehlo-

Pour conclure, ces premières images de l’activité cérébrale des fœtus humains permettent d’ouvrir la porte d’une meilleure compréhension de notre propre développement. Cependant, il s’agit surtout d’un outil de diagnostic de précision qui permet une attention plus complète de l’enfance prématurée, de cette vie arrivée avant l’heure qui a tant besoin de la science, des médecins et de sa famille.
Lisez aussi : 9 mois de grossesse dans une merveilleuse vidéo de 4 minutes
Ce texte est fourni à des fins d'information uniquement et ne remplace pas la consultation d'un professionnel. En cas de doute, consultez votre spécialiste.







